こんな症状でお悩みではありませんか
・慢性的な首こりや肩こりが続いている
・頭痛やめまい、目の奥の重だるさがある
・上を向くと首がつっぱる
・猫背や姿勢の悪さを指摘されたことがある
・朝起きても疲れが取れず、日中に眠気がある
これらの症状がある方は、“ストレートネック”の可能性があります。
福岡天神で自律神経の乱れや首こり・肩こり・頭痛にお悩みの方に多く見られるのが、このストレートネックの状態です。
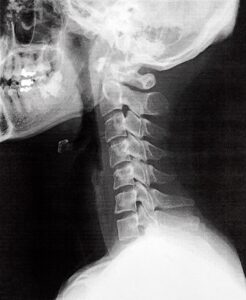
ストレートネックとは

人の首の骨(頚椎)は本来、ゆるやかなカーブを描いて頭を支えています。
このカーブは「頚椎前弯」と呼ばれ、頭の重みを分散し、筋肉や神経に余計な負担がかからないようにする自然な構造です。
しかし、長時間のスマートフォン操作やデスクワークで前かがみの姿勢が続くと、首のカーブが失われ、まっすぐに近い状態になります。
この状態が「ストレートネック」です。
ストレートネックになると、首や肩の筋肉が常に緊張し、神経・血流・リンパの流れが滞りやすくなります。
その結果、首こり・肩こり・頭痛・めまい・不眠など、自律神経のバランスを崩す原因にもなってしまいます。
どうしてなるの?どうしてつらくなるの?

ストレートネックの一番の原因は、日常生活の姿勢習慣です。
スマホやパソコンの画面を見る時間が増え、頭が前方に突き出た姿勢になることで、首の筋肉に常に負担がかかります。
頭は約5〜6kgあり、少し前に傾くだけでも首への負担は倍以上になります。
この状態が続くと、筋肉がこり固まり、神経の働きが鈍くなり、血流の低下や痛みの慢性化につながります。
また、呼吸が浅くなり胸の動きが硬くなると、交感神経が優位になりやすく、体がリラックスできない状態に。
つまり、ストレートネックは姿勢だけでなく「自律神経のバランスの乱れ」からも悪化していくのです。
そのままにしておくと
ストレートネックを放置すると、首の可動域が狭くなり、慢性的な肩こり・頭痛だけでなく、腕や手のしびれ、集中力の低下、疲労感の増加などが出てきます。
また、首のバランスは全身とつながっているため、腰痛や背中の張り、姿勢の崩れ、呼吸の浅さなど、全身に影響が広がります。
放置することで、頚椎椎間板ヘルニアや変形性頚椎症などを引き起こすこともあるため、早めの対処が大切です。
一般的な予防・対処法

一般的には、以下のような方法が行われます。
・姿勢改善ストレッチ
・肩や首のマッサージ
・枕の高さを変える
・ストレートネック矯正グッズの使用
これらは一時的な軽減には効果的ですが、根本的に改善するためには「脳と神経の使い方」そのものを整える必要があります。
なぜなら、姿勢を作っているのは筋肉ではなく、筋肉を動かしている神経だからです。
たぐち整体での整体施術

福岡天神の「たぐち整体」では、ストレートネックを“首のゆがみ”としてではなく、全身を制御している神経系の問題として考えます。
施術では以下のような流れで、筋肉・神経・感覚を整えていきます。
・全身タッピングによる神経リセット
・首や肩の筋膜リリース
・頚長筋や斜角筋など深部筋の緊張を緩める
・胸郭・肋骨まわりの可動性改善
・正しい姿勢を保つための軽いトレーニング
これにより、筋肉だけでなく、神経の出力(ブレインコントロール)を整えることで姿勢そのものが自然に変わるように導きます。
FNTによるアプローチ

たぐち整体では、機能神経学(Functional Neuro Training=FNT)の考えを取り入れ、脳神経の働きを利用して全身の動きと自律神経のバランスを整えます。
ストレートネックでは、首そのものよりも、視覚・前庭覚(バランス感覚)・体性感覚の情報がずれていることが多くあります。
たとえば、
・視線の使い方(スムーズパースート)
・頭部の傾斜による前庭刺激
・足底や足首の硬さなど、一見関係なさそうな部位の感覚テスト
これらを評価しながら、神経の反応を整えることで、脳が“正しい姿勢”を再び学習できるように導いていきます。
筋肉を揉むのではなく、「姿勢を支える神経回路を再構築する」──これがFNTによるアプローチの本質です。
施術後には、呼吸の深さや視界の明るさ、姿勢の安定感などを感じる方が多くいらっしゃいます。
諦めないで

長年のストレートネックや肩こり・頭痛でも、脳神経と感覚の働きを整えれば、体は何歳からでも変われます。
「首の形」ではなく、「首を支える神経」を整えることで、自然なカーブと軽やかな動きを取り戻すことができます。
自律神経の乱れや不眠、慢性的な肩こり・首こりでお悩みの方も、ぜひ一度ご相談ください。
まとめ

ストレートネックは、単なる姿勢の崩れではなく、脳神経と自律神経の働きの乱れから生じる全身のバランス不調です。
たぐち整体では、機能神経学の観点からFNTを用い、脳から全身を再教育していく施術を行っています。
筋肉や関節だけでなく、神経・感覚・呼吸までトータルで整えることで、姿勢と動きが自然に変化していきます。
福岡天神で「ストレートネックを根本から改善したい」「自律神経を整えたい」「FNTを受けてみたい」という方は、ぜひ一度ご相談ください。
私、田口が責任をもって施術いたします。
やさしい整体で、体を本来の動きへ
たぐち整体 ぐっすり 福岡天神院は、やさしいタッピングを中心とした神経アプローチで、
姿勢・呼吸・体の使い方を整える整体サロンです。
スマホ首・肩こり・頭痛・腰痛などの慢性不調・自律神経系の不調でお悩みの方が、自然な呼吸と正しい姿勢を取り戻し、
毎日をもっと快適に過ごせるようサポートしています。